牙周病治療

牙周病治療

牙周病怎麼治?專家分享有效的治療方案


香港牙周病治療

什麼是牙周病?

牙周病是一種影響牙齦及牙齒周圍組織的疾病,通常由牙菌膜積聚引起。若不及時治療,可能導致牙齒脫落,並且在某些情況下,還可能影響全身健康。

牙周病的類型
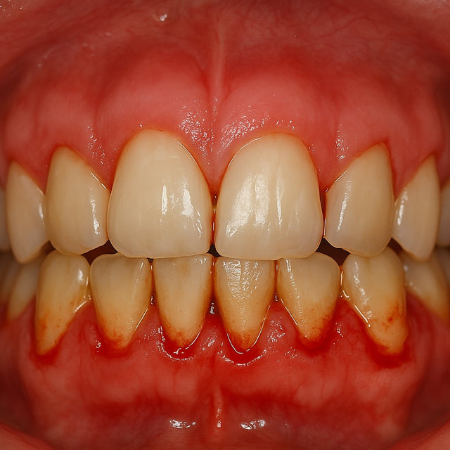
  • 輕度牙周病:牙齦發炎,出現紅腫和出血。
  • 中度牙周病:牙齦退縮,牙齒周圍的骨質開始流失。
  • 重度牙周病:牙齦嚴重退縮,骨質大量流失,可能需要拔牙。

牙周病延遲治療的壞處

牙齒脫落的風險

延遲治療可能導致牙齒失去支撐,最終需要拔除,影響咀嚼功能及美觀。

影響全身健康

研究顯示,牙周病與心臟病、糖尿病及呼吸道疾病有關,延遲治療可能加重這些病症,增加醫療負擔。

心理影響

牙周病可能導致口腔異味及牙齒外觀改變,影響自信心及社交活動。

牙周病治療程序

步驟 1: 初診評估
  • 口腔檢查:牙醫會詳細檢查牙齒及牙齦的健康狀況,評估有無紅腫、出血等症狀。
  • X光檢查:通過X光檢查,評估牙齒周圍的骨質狀況,確定牙周病的嚴重程度。
步驟 2: 深層清潔
  • 牙齦下刮治:去除牙齦下的牙菌膜和牙石,這是控制感染的關鍵步驟。
  • 根面平整:平整牙根表面,幫助牙齦重新附著,減少未來感染的風險。
步驟 3: 牙周病治療
  • 使用抗生素:根據需要,牙醫可能會開立口服或局部應用的抗生素,以控制感染。
  • 定期檢查:進行後續檢查以評估牙齦的恢復情況。
步驟 4: 隨訪及維護
  • 維護計劃:牙醫會根據您的情況制定維護計劃,建議定期回診以保持口腔健康。
  • 口腔衛生指導:牙醫會提供正確的刷牙和使用牙線的指導,幫助你在家中維護口腔衛生。
步驟 5: 持續監測
  • 定期檢查:建議每3至6個月回診一次,檢查牙齦健康,確保牙周病不再復發。
  • 調整治療計劃:根據隨訪結果,牙醫可能會調整治療計劃,確保最佳效果。


價格比較

治療類型 價格範圍
初診評估 HK$500 - HK$1,000
深層清潔 HK$2,000 - HK$4,000
後續檢查 HK$300 - HK$600
牙周手術 HK$5,000 - HK$10,000


如何選擇牙醫

  • 牙醫的資格 - 確認牙醫是否持有專業執照及相關資格,最好選擇專攻牙周病的牙醫。
  • 醫療經驗 - 選擇有牙周病治療經驗的牙醫,經驗豐富的牙醫能更有效地處理各種情況。
  • 客戶評價 - 查閱其他患者的評價及經驗,了解牙醫的服務質素及治療效果。
  • 設施及技術 - 選擇配備現代設備的診所,確保治療過程安全及高效。

風險

治療過程中的風險

  • 出血:某些患者在治療後可能會出現輕微出血。
  • 感染:治療後需注意口腔衛生以避免感染。

長期風險

若不進行維護,牙周病可能復發,進一步損害牙齦和牙齒的健康。

適合人士

1. 風險群體
  • 吸煙者:吸煙會影響牙齦健康,增加牙周病風險。
  • 糖尿病患者:糖尿病患者易感染,需定期檢查口腔健康。
  • 高齡人士:隨著年齡增長,牙周病風險增加。
2. 其他高風險因素
  • 不良口腔衛生習慣
  • 家族病史


常見問答 (Q&A)

1. 牙周病可以自我診斷嗎?

不建議,應尋求專業牙醫的評估。自我診斷可能導致延誤治療。

2. 治療過程痛苦嗎?

一般治療過程會有不適,但多數患者可耐受。牙醫會根據需要提供麻醉。

3. 需要多久時間才能看到效果?

通常需要數週至數月的時間,視乎患者的情況而定。及早治療會更快見效。

4. 治療後需要多久回診一次?

建議每3到6個月回診一次以維護口腔健康,牙醫會根據您的情況調整回診頻率。

 

Whatsapp : 立即預約諮詢

牙醫推薦 (待續)

 

© 2025 HK Dentist Pro,

  • PayPal